Digital Intelligent Pathology AI Assisted Diagnosis System
The pathology image artificial intelligence auxiliary system is a product of the interdisciplinary integration of medical big data analysis and artificial intelligence deep learning algorithms.
The system has successfully constructed a full-chain automated auxiliary diagnostic platform integrating screening and identification,precise diagnostic suggestions and standardized reports,which comprehensively improves the diagnostic efficiency and accuracy of pathologists.
The system has successfully constructed an end-to-end automated diagnostic platform integrating screening,identification, precise diagnostic recommendations, and standardized reporting, significantly enhancing pathologists’ diagnostic efficiency and accuracy.It not only signifies AI’s deep integration into clinical workflows but also leads the new wave of intelligent medical development,providing strong momentum for the intelligent transformation and advancement of the pathology industry.
Functions
Whole slide screening for detection of all abnormal cells or tissues.
Localizing abnormal cells or tissues in milliseconds.
Interactive data annotation, continuous iteration of Al models.
Automatic determination of benign or malignant status and pathological classification.
Automatic determination of benign or malignant status and pathological classification.
Advantages
- One platform hosts multiple disease modules.
- Strong robustness and generalization ability.
- Significantly improve diagnostic efficiency and accuracy.
- High-precision labeling, multi-threaded load, high-throughput processing.
Orchestrating End-to-End Pathology Workflows with Universal Hardware and System Compatibility
AI-powered diagnostic platform transforms pathology into a seamless, interconnected workflow—spanning digital slide scanning, AI-augmented diagnosis, and automated report delivery—while ensuring universal compatibility with leading hardware devices and hospital information systems.

Hardware Agility: Bridging Diverse Scanning Ecosystems
The AI-powered diagnostic platform achieves robust interoperability with a vast spectrum of digital slide scanners, covering:
Global industry leaders: Philips, Zeiss, Leica Biosystems, Roche (ScanIm platform).
Niche specialists: 3DHISTECH (Europe), d-matrix (precision imaging), KFBIO (innovative optics).
Regional innovators: Motic, Unic
(Asia-Pacific), and more.
Crucially, it extends beyond third-party devices: we also support our own AI-optimized reagents, purpose-built scanners, and specialized microscopes. This means hospitals can either leverage existing infrastructure (preserving capital investments) or adopt tailored tools for enhanced performance—no forced hardware overhauls required.

System Integration: Syncing with Pathology IT Landscapes
On the software front, our AI-powered diagnostic platform integrates flawlessly with pathology information management systems (PIMS) and hospital IT ecosystems.
This eliminates manual bottlenecks:
Scanned slides flow directly into AI-driven analysis.
Pathologists’ diagnoses sync instantly with the PIMS.
Finalized reports auto-distribute to clinicians, embedded in the hospital’s core workflow.
Every step—from slide scanning to report delivery—operates as a unified, frictionless chain, cutting administrative delays and ensuring diagnostic insights reach care teams faster.

The Unified Advantage: Efficiency Without Compromise
By connecting hardware diversity, AI analysis, and system connectivity, we:
Streamlines workflows: Reduces manual handoffs, accelerating time-to-diagnosis.
Protects investments: Lets hospitals keep trusted devices while adding AI capabilities.
Empowers experts: Frees pathologists from repetitive tasks to focus on complex cases.
In short, we don’t just “add AI” to pathology—it weaves AI into the entire diagnostic journey, harmonizing with existing tools and systems to deliver faster, more consistent care. The future of pathology isn’t about replacing hardware or workflows—it’s about unifying them.
SCI-Journal Proof: AI Pathology’s Clinical Validity
Our AI-driven pathology diagnostic system has cemented its clinical credibility through rigorous research published in The Lancet Oncology, Advanced Science, International Journal of Surgery, and other premier international journals. Across dozens of SCI-indexed studies (cumulative impact factor >260, total citations >1,000), clinical data consistently demonstrate the system’s ability to solve longstanding pathology challenges with precision and reliability.
Applications

Cervical Cytology Assistant Diagnostic Module
Automatic recognition of 15 cell types. Accurate identification to reduce misdiagnosis. One-click report generation, dual-screen slide reading, interfacing with multiple systems. Validated by multi-center clinical trials: sensitivity ≥ 95%, specificity ≥ 85%. Whole slide analysis with TBS standard report. Customizable report template.

Thyroid Cytology Assistant Diagnostic Module
Automatic recognition of 6 cell types. High-speed analysis for improved efficiency. Validated by multi-center clinical trials: sensitivity ≥ 95%, specificity ≥ 90%. Whole slide analysis to reduce misdiagnosis TBS standardized pathology reports.

Urine Cytology Assistant Diagnostic Module
Automatic recognition of high-grade uroepithelial cancer cells Diagnostic report based on "The Evolution of the Paris System(TPS)" Validated by multi-center clinical trials: Sensitivity≥95%,Specificity≥93% Whole slide analysis to reduce missed defections Increase the positive detection rate

Hydrothorax and Ascites Cytology Assistant Diagnostic Module
Automatic recognition of malignant tumor cell Assist physicians with cytologic diagnosis. Whole slide analysis to reduce misdiagnosis.. Validated by multi-center clinical trials: sensitivity≥96%,specificity≥90%, Quantities 10000+ Increase the positive detection rate

Gastric Biopsy Assistant Diagnostic Module
Efficient identification of tissue structural changes and cellular abnormalities. Automatically recognize eight lesion types,covering more than 95% of lesion types. Automatically capture the lesion area,effectively assist doctors in diagnosis. Combine pathology images, gastroscopy and medical history to improve physicians' diagnostic accuracy.

Intestinal Biopsy Assistant Diagnostic Module
Detection of small early lesion areas with high accuracy. Automatically recognize six lesion types,covering more than 95%of lesion types. Significantly shorten the diagnostic time and reduce workload. Combine pathology images,colonoscopy and disease history to improve diagnostic accuracy.

Cervical Biopsy Assistant Diagnostic Module
Whole slide analysis, automatic identification of squamous and adenocarcinomas Combine pathologicimages, colposcopy and medical history to improve diagnostic accuracy Combine diagnosis with cervical cytology diagnostic module,greatly improve the diagnostic accuracy of doctors.

Endometrial Biopsy Assistant Analysis Module
Fusion of high and low magnification models to discriminate tissue structural changes and cellular abnormalities. Rapid localization of lesions. Automatic recognition of six lesion types. Combining pathologic images and patient age to improve diagnostic accuracy.

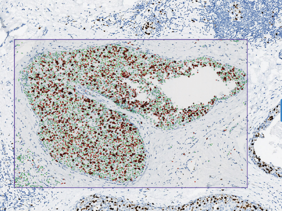
Immunohistochemistry Assistant Analysis Module
Whole slide analysis,intelligent cell counting. Algorithm intelligently segments the effective area to fit different diagnostic scenarios. Multiple staining images displayed on one screen for comprehensive comparative analysis. High concordance with the pathologist's interpretation with an accuracy of >0.94.

Cervical Cytology Assistant Diagnostic Module
Automatic recognition of 15 cell types. Accurate identification to reduce misdiagnosis. One-click report generation, dual-screen slide reading, interfacing with multiple systems. Validated by multi-center clinical trials: sensitivity ≥ 95%, specificity ≥ 85%. Whole slide analysis with TBS standard report. Customizable report template.
Cervical Cytology Assistant Diagnostic Module
- Automatic recognition of 15 cell types.
- Accurate identification to reduce misdiagnosis.
- One-click report generation, dual-screen slide reading, interfacing with multiple systems.
- Validated by multi-center clinical trials: sensitivity ≥ 95%, specificity ≥ 85%.
- Whole slide analysis with TBS standard report.
- Customizable report template.
Thyroid Cytology Assistant Diagnostic Module
- Automatic recognition of 6 cell types.
- High-speed analysis for improved efficiency.
- Validated by multi-center clinical trials: sensitivity ≥ 95%, specificity ≥ 90%.
- Whole slide analysis to reduce misdiagnosis TBS standardized pathology reports.
Urine Cytology Assistant Diagnostic Module
- Automatic recognition of high-grade uroepithelial cancer cells
- Diagnostic report based on “The Evolution of the Paris System(TPS)”
- Validated by multi-center clinical trials: Sensitivity≥95%,Specificity≥93%
- Whole slide analysis to reduce missed defections
- Increase the positive detection rate
Hydrothorax and Ascites Cytology Assistant Diagnostic Module
Automatic recognition of malignant tumor cell Assist physicians with cytologic diagnosis.
Whole slide analysis to reduce misdiagnosis..
Validated by multi-center clinical trials: sensitivity≥96%,specificity≥90%, Quantities 10000+
Increase the positive detection rate
Gastric Biopsy Assistant Diagnostic Module
Efficient identification of tissue structural changes and cellular abnormalities.
Automatically recognize eight lesion types,covering more than 95% of lesion types.
Automatically capture the lesion area,effectively assist doctors in diagnosis.
Combine pathology images, gastroscopy and medical history to improve physicians’ diagnostic accuracy.
Intestinal Biopsy Assistant Diagnostic Module
Detection of small early lesion areas with high accuracy.
Automatically recognize six lesion types,covering more than 95%of lesion types.
Significantly shorten the diagnostic time and reduce workload.
Combine pathology images,colonoscopy and disease history to improve diagnostic accuracy.
Cervical Biopsy Assistant Diagnostic Module
Whole slide analysis, automatic identification of squamous and adenocarcinomas
Combine pathologicimages, colposcopy and medical history to improve diagnostic accuracy
Combine diagnosis with cervical cytology diagnostic module,greatly improve the diagnostic accuracy of doctors.
Endometrial Biopsy Assistant Analysis Module
Fusion of high and low magnification models to discriminate tissue structural changes and cellular abnormalities.
Rapid localization of lesions.
Automatic recognition of six lesion types.
Combining pathologic images and patient age to improve diagnostic accuracy.
Immunohistochemistry Assistant Analysis Module
Whole slide analysis,intelligent cell counting.
Algorithm intelligently segments the effective area to fit different diagnostic scenarios.
Multiple staining images displayed on one screen for comprehensive comparative analysis.
High concordance with the pathologist’s interpretation with an accuracy of >0.94.
Cervical Cytology Assistant Diagnostic Module
- Automatic recognition of 15 cell types.
- Accurate identification to reduce misdiagnosis.
- One-click report generation, dual-screen slide reading, interfacing with multiple systems.
- Validated by multi-center clinical trials: sensitivity ≥ 95%, specificity ≥ 85%.
- Whole slide analysis with TBS standard report.
- Customizable report template.
Teleconsultation System
By integrating the cutting-edge technologies of 5G and cloud computing,a powerful remote consultation system is carefully built,which not only supports synchronous online slide reading by multiple users,but also includes a variety of image-assisted processing tools,such as online annotation,synchronous operation on the same screen,and multi-screen collaborative linkage.
These functions meet the needs of pathologists within and across hospitals for remote consultation and teaching of complex and difficult cases.At the same time,it effectively promotes the decentralization of pathology expert resources and provides strong support for the in-depth implementation of tiered diagnosis and treatment.
Research Management System
Tailor-made for globally reputable medical institutions, higher education institutions and other research entities, it is committed to building a collaborative research platform covering the entire life cycle of Al medicine.
Focusing on deep learning algorithms, pathogenomics technology and radiomics methods,and using them as the core driving force, we promote the in-depth development of Al medical research across all disease types. We join hands with various scientific research results into practical application scenarios, aiming to create a new chapter in medical research.